Merkel Skin Cancer . Merkel Cell Carcinoma - Dermatology Advisor

Barcelona Is Spain's Second Largest City, With A Population Of Nearly Two Million People, And The Capital Of Catalonia.

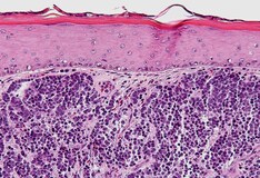
Merkel Skin Cancer. Although skin cancer is the most common type of cancer in the united states, merkel cell carcinoma is considered rare. Only 1,500 people in the united states are diagnosed with mcc each year. Here you can find out all about this type of cancer, including risk factors. Merkel cell carcinoma (mcc) is a rare skin cancer. It is also known as cutaneous apudoma, primary neuroendocrine carcinoma of the skin, primary small cell carcinoma of the skin. Merkel cell carcinoma is a rare type of skin cancer that usually starts in areas of skin exposed to the sun. Cancer records show that doctors diagnosed while mcc is rare, the cancer records also indicate that more people are developing this skin. If you have merkel cell skin cancer (carcinoma) or are close to someone who does, knowing what to expect can help you cope. Sun exposure and having a weak immune system can affect the risk of merkel cell carcinoma. (see also overview of skin cancer.) merkel cells are normal cells in the epidermis (the outer layer of the skin). Rather, they can look innocuous, even like a bug bite. Merkel cell carcinoma (mcc) is a rare and aggressive skin cancer occurring in about 3 people per 1,000,000 members of the population. Merkel cell carcinoma (mcc) is a rare, aggressive form of skin cancer with a high risk for returning (recurring) and spreading (metastasizing). Merkel cell carcinomas are unlike other skin cancers in that they typically don't appear with an alarming asymmetrical shape or pigmented color. These cells mostly function as touch receptors and they produce certain hormones.

Merkel Skin Cancer . Symptoms Of Merkel Cell Carcinoma | Merkel Cell Carcinoma

Merkle Cell Carcinoma | Skin Cancer and Reconstructive Surgery Center. It is also known as cutaneous apudoma, primary neuroendocrine carcinoma of the skin, primary small cell carcinoma of the skin. Merkel cell carcinoma (mcc) is a rare skin cancer. Rather, they can look innocuous, even like a bug bite. Merkel cell carcinoma (mcc) is a rare, aggressive form of skin cancer with a high risk for returning (recurring) and spreading (metastasizing). Merkel cell carcinomas are unlike other skin cancers in that they typically don't appear with an alarming asymmetrical shape or pigmented color. (see also overview of skin cancer.) merkel cells are normal cells in the epidermis (the outer layer of the skin). Only 1,500 people in the united states are diagnosed with mcc each year. Here you can find out all about this type of cancer, including risk factors. Cancer records show that doctors diagnosed while mcc is rare, the cancer records also indicate that more people are developing this skin. Sun exposure and having a weak immune system can affect the risk of merkel cell carcinoma. Merkel cell carcinoma is a rare type of skin cancer that usually starts in areas of skin exposed to the sun. Merkel cell carcinoma (mcc) is a rare and aggressive skin cancer occurring in about 3 people per 1,000,000 members of the population. Although skin cancer is the most common type of cancer in the united states, merkel cell carcinoma is considered rare. If you have merkel cell skin cancer (carcinoma) or are close to someone who does, knowing what to expect can help you cope. These cells mostly function as touch receptors and they produce certain hormones.

Skin Cancer Information - The Skin Cancer Foundation
Skin Cancer Information - The Skin Cancer Foundation from www.skincancer.org
According to the skin cancer foundation, merkel cell cancers kill about one in three patients, compared to one in nine patients who die from melanoma. They're called merkel cells and make up only a small percentage of skin cells. Merkel cells are types of cells in the upper layer of the skin. A rare disease in which cancer cells form in the skin. It is also known as cutaneous apudoma, primary neuroendocrine carcinoma of the skin, primary small cell carcinoma of the skin. Merkel cell carcinoma is a rare type of skin cancer. Merkel cell carcinomas are unlike other skin cancers in that they typically don't appear with an alarming asymmetrical shape or pigmented color.

If you have merkel cell skin cancer (carcinoma) or are close to someone who does, knowing what to expect can help you cope.

Merkel cell carcinoma (mcc) is a rare, aggressive form of skin cancer with a high risk for returning (recurring) and spreading (metastasizing). Treatments for merkel cell cancer. It starts in the merkel cells. Merkel cell is an aggressive kind of skin cancer that has tripled in volume over the past several years. These cells mostly function as touch receptors and they produce certain hormones. Merkel cell carcinoma is a relatively uncommon form of skin cancer that results from the excessive growth of cells that serve as touch receptors (merkel cells) in the outermost layer of the skin. Sun exposure and having a weak immune system can affect the risk of merkel cell carcinoma. An infrequent but highly malignant type of skin cancer. (see also overview of skin cancer.) merkel cells are normal cells in the epidermis (the outer layer of the skin). It starts in the merkel cells, which are usually in the top layer of the skin (the epidermis). Here you can find out all about this type of cancer, including risk factors. Merkle tumors skincancernet is a comprehensive online skin cancer information resource developed by the. They're called merkel cells and make up only a small percentage of skin cells. Among 5722 cases, the average merkel cell carcinoma merkel cell carcinoma a skin cancer composed of cells that look microscopically similar to normal merkel cells present in the skin. This form of skin cancer is quite rare, but may be considered one of the most lethal, notes dr merkel cells are associated with nerve endings within the skin. Merkel cell carcinoma of the skin is a rare form of skin cancer. Merkel cell carcinoma (mcc) is a rare type of skin cancer. A rare disease in which cancer cells form in the skin. Merkel cell carcinoma (mcc) is a rare skin cancer. Merkel cell carcinoma is a rare form of skin cancer that is being diagnosed in more people. Although mcc is a type of skin cancer, it's much different than melanoma, dr. Neuroendocrine carcinoma of the skin. Merkel cell carcinoma is a rare type of skin cancer that usually starts in areas of skin exposed to the sun. Merkel cells are types of cells in the upper layer of the skin. It may be very aggressive and often metastasises to other parts of the body. Merkel cell carcinoma was first described by cyril toker in 1972 who named it 'trabecular cancer'. These cells are near the nerve endings and they. Merkel cell carcinomas are unlike other skin cancers in that they typically don't appear with an alarming asymmetrical shape or pigmented color. Although skin cancer is the most common type of cancer in the united states, merkel cell carcinoma is considered rare. Merkel cell carcinoma (mcc) is a rare and aggressive skin cancer occurring in about 3 people per 1,000,000 members of the population. Merkel cells, found in the top layer of the skin, are very close to the nerve endings that receive the sensation of touch.

Merkel Skin Cancer : Merkel Cell Carcinoma Is A Rare Form Of Skin Cancer That Is Being Diagnosed In More People.

Merkel Skin Cancer : Case Report: Unusual Combined Merkel, Squamous Cell Carcinoma In Situ - Dermatology Advisor

Merkel Skin Cancer - Skin Cancer - Merkel Cell Carcinoma: Practice Essentials, History Of The Procedure, Problem

Merkel Skin Cancer . Rather, They Can Look Innocuous, Even Like A Bug Bite.

Merkel Skin Cancer - Sun Exposure And Having A Weak Immune System Can Affect The Risk Of Merkel Cell Carcinoma.

Merkel Skin Cancer - It May Be Very Aggressive And Often Metastasises To Other Parts Of The Body.

Merkel Skin Cancer : Although Mcc Is A Type Of Skin Cancer, It's Much Different Than Melanoma, Dr.

Merkel Skin Cancer : Merkel Cell Carcinoma Was First Described By Cyril Toker In 1972 Who Named It 'Trabecular Cancer'.

Merkel Skin Cancer : Merkel Cell Cancer (Mcc) Is A Rare Type Of Skin Cancer That Grows Quickly.

Merkel Skin Cancer , It Starts In The Merkel Cells, Which Are Usually In The Top Layer Of The Skin (The Epidermis).